Esthetische tandheelkunde

directe brug terug
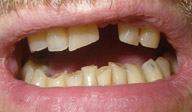
directe brug voorbeeld 1
vóór na
 
 
 

Tandartspraktijk Loonsevaert, tandarts I. Boot - Charko: Loonsevaert 54, 5171 LK Kaatsheuvel - Tel.: 0416 - 54 05 71 - E-mail: info@tandartsboot.nl